ドクターを指導するドクターが
あなたの主治医です
【2000本以上の治療実績あり】
日本口腔インプラント学会
「専門医」が必ず担当。
当院院長山本は伊丹市唯一のインプラント専門医です。
さらに、
日本口腔インプラント学会専門医 ✕ 国際口腔インプラント学会専門医(ドイツ)
のダブルライセンスは兵庫県に山本ただ1人となります。
月額3,900円(税込)〜
インプラントが可能
すべて込みで1本396,000円~ (税込)
※インプラント本体+オペ+被せ物
☑寝ている間に終わる「睡眠無痛治療」
☑ 成功率を高める「コンピューターインプラント」
☑ 万全の「衛生管理体制」
☑「世界的インプラントメーカー」を採用
☑「1回で歯が入る」術式
インプラント手術は日曜日に可能です。
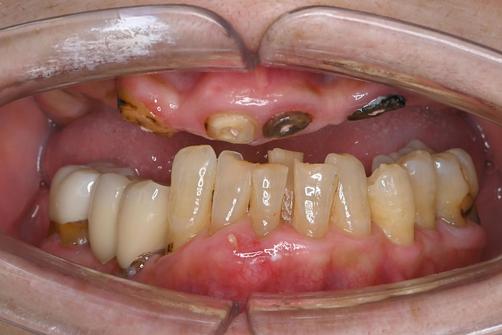
インプラントを用いた症例。費用は、約100万円。
インプラント治療には外科処置を伴うため術後の疼痛、腫脹、出血などが生じることがあります。
被せ物の破損、緩みが生じる場合があります。
インプラントを用いた症例。費用は、約100万円。
インプラント治療には外科処置を伴うため術後の疼痛、腫脹、出血などが生じることがあります。
被せ物の破損、緩みが生じる場合があります。
インプラントを用いた症例。費用は、約300万円。
インプラント治療には外科処置を伴うため術後の疼痛、腫脹、出血などが生じることがあります。
被せ物の破損、緩みが生じる場合があります。
インプラントを用いた症例。費用は、約300万円。
インプラント治療には外科処置を伴うため術後の疼痛、腫脹、出血などが生じることがあります。
被せ物の破損、緩みが生じる場合があります。
インプラントを用いた症例。費用は、約40万円。
インプラント治療には外科処置を伴うため術後の疼痛、腫脹、出血などが生じることがあります。
被せ物の破損、緩みが生じる場合があります。
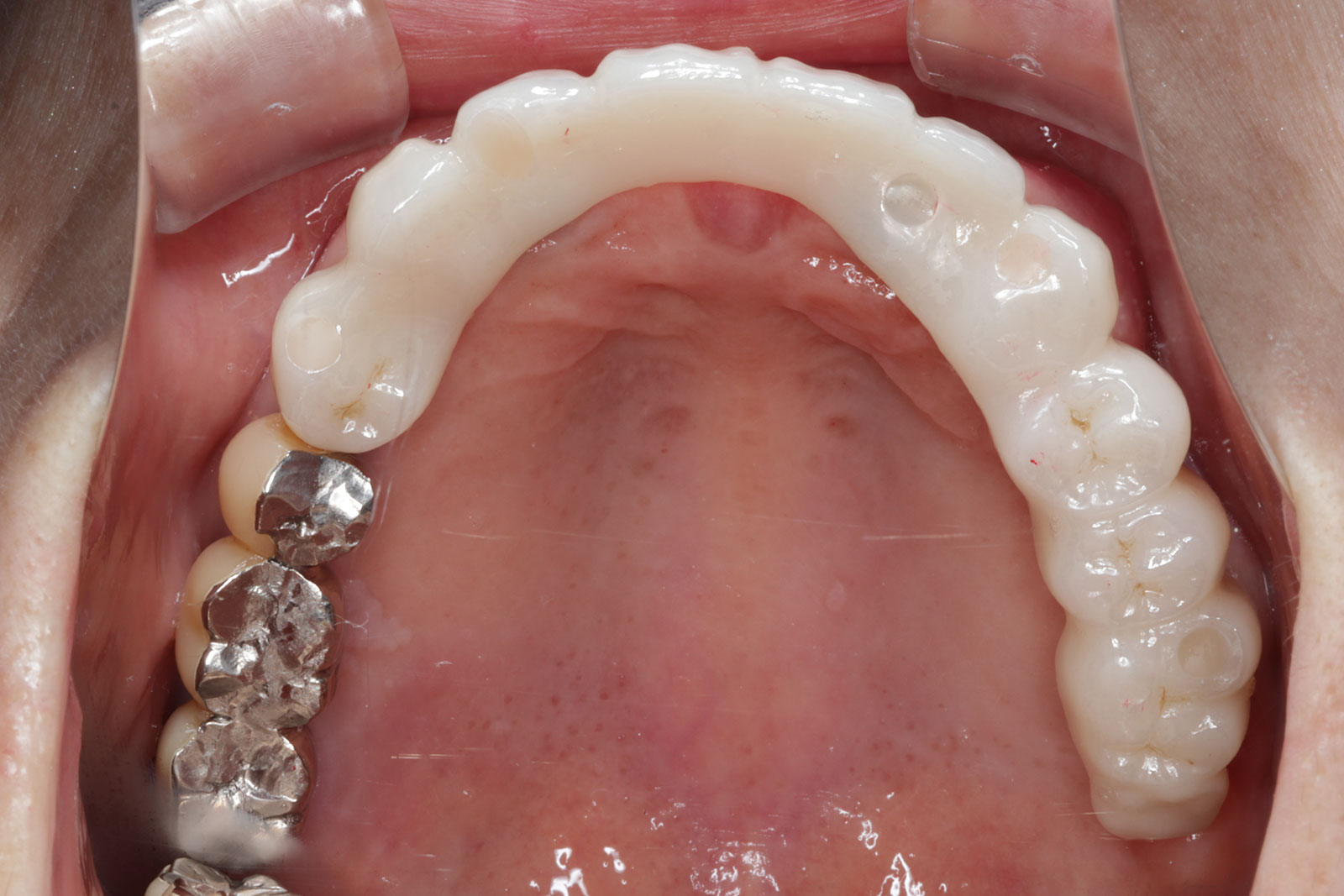
上顎:インプラントを用いた症例。費用は上顎約300万円
インプラント治療には外科処置を伴うため術後の疼痛、腫脹、出血などが生じることがあります。
被せ物の破損、緩みが生じる場合があります。
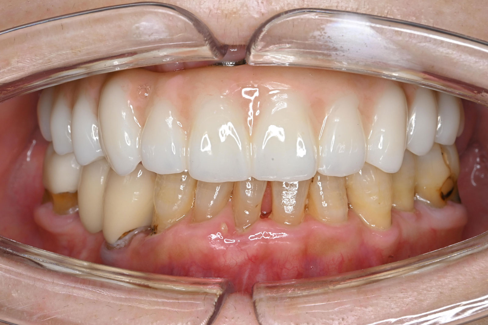
上下顎とも:インプラント、セラミックを用いた症例。費用は上顎約200万円、下顎約200万円
インプラント治療には外科処置を伴うため術後の疼痛、腫脹、出血などが生じることがあります。
被せ物の破損、緩みが生じる場合があります。
上顎:インプラントを用いた症例。費用は上顎約300万円
インプラント治療には外科処置を伴うため術後の疼痛、腫脹、出血などが生じることがあります。
被せ物の破損、緩みが生じる場合があります。
その他にも、次のような「特徴」があります
当院のインプラント治療は、ほかにも以下のような特徴があります。
世界標準のメーカーを採用
インプラントメーカーは、国内で流通している会社だけでも200社弱あると言われています。
メーカーによって品質には高低があり「どれでもいい」というわけにはいきません。
当院で使用するインプラントは、日本国内はもちろん、海外の歯科医からも高い評価を受けているメーカーだけを使用しています。
ストローマン

ストローマンは、インプラントのシェア世界1位を誇るインプラントメーカーです。臨床研究に余念がなく、学術的にも非常に優れたインプラントパーツを製造しています。
オステムインプラント

オステムは韓国のインプラントメーカーです。アジアシェアはNo.1、世界シェアではNo.6、販売本数は世界一(メーカー公表値)を誇っています。
静脈内鎮静法で「快適な治療時間」を
一般的にインプラント治療では、通常の歯科診療時に使う「局部麻酔」を使用します。これは、全身麻酔にしてしまうと体への負担があまりに大きくなってしまうためです。もちろん局部麻酔でも治療中に痛みを感じることはありませんが、意識はハッキリしているため、機械音などは聞こえます。
患者さんによっては、この機械音などが大きなストレスになってしまい、緊張・不安からパニックを起こしたり、呼吸・血圧・脈拍に異常が出てしまうケースもあります。
当院では、こうした患者さんの精神的・肉体的負担を軽減するため、「静脈内鎮静法」という手法を採用しています。
この麻酔は、全身麻酔よりも身体への負担が小さいにも関わらず、全身麻酔に近い作用を得ることができます。
「うとうと」とした状態の中で治療を終えることができるため、「気が付いたら終わっていた」という患者さんが多くいらっしゃいます。
もちろん、この手法による副作用や後遺症はありませんので、ご安心ください。
総入れ歯で悩まれている方には「All-on-4」!
総入れ歯の方がインプラントをするとなると、歯の本数分のインプラント埋め込みが必要でした。上下すべての歯は、親知らずを除いて28本あります。これらの1本1本に対してインプラントを埋め込んでいくというのは、肉体的に大きな負担になることはもちろん、経済的な負担も非常に大きなものになります。
そこで当院では、『All-on-4』という手法をご提案しています。この手法は1日で人工歯が入りますので、手術をしたその日のうちに、美味しく食事を摂っていただくことができます。
●All-on-4のメリット
・従来よりも経済的負担が小さくて済む
・肉体的負担も大幅に軽減できる
・従来よりも痛み・腫れが出にくい
・治療日に人工歯が手に入る
●All-on-4のデメリット
・健康な歯が残っている場合でも、施術に際して抜歯が必要になる
・お口や全身の健康状態によっては、対応できない場合がある
総入れ歯に対してお悩みを持っていらっしゃる方や、現在部分入れ歯になっているがインプラントに興味がある方など、ぜひ当院まで一度ご相談ください。
1Day インプラント 抜歯即時荷重で「その日のうちに」歯が入ります!
一般的に行われているインプラント治療では、不具合のある歯を抜歯したあと、一度骨の回復を待ってから再度手術を行います。そのため、治療にかかる期間が長く、抜歯後少しの間は歯がない状態で過ごしていただく必要があります。
当院では、抜歯した直後にインプラントを埋入するという手法によって、「歯のない期間」を無くします。
●メリット
・患者さんの負担が大きくなる「骨造成」が不要
・歯茎を「切ったりめくったり」しません
・「治療期間」が1/2に短縮、「来院回数」も減少
●デメリット
・すべての症例に必ず適用できるわけではない
・担当医の高い技術力が要求される
当院のインプラントは10年保証です。
インプラントの保証期間は通常5年程度ですが、当院では10年保証いたします。